登录
第三方登录
“45度”大脚骨回正 退休“驴友”重获健步人生
湖北日报 2026-03-06 17:20:43


湖北日报讯(记者汪菁华、通讯员付攀峰、林国山)近日,一位双足重度踇外翻患者在术后两个多月来到武汉大学泰康临床学院、泰康同济(武汉)医院骨科复查,恢复情况令人欣喜。曾经因足部畸形疼痛而步履维艰的她,如今双足外观恢复正常,行走自如,即将重拾户外登山的爱好。

患者秦女士(化名)是一名资深户外爱好者,年轻时经常登山徒步,饱览山川美景。10多年前,她发现双足出现踇外翻畸形,但当时症状轻微,并未在意。近年来,畸形明显加重,合并有拇囊炎,行走时疼痛难忍,穿鞋受限,严重影响了日常生活。在此之前,秦阿姨也曾考虑手术,但传统手术创伤较大,恢复期长,让她一直犹豫不决。

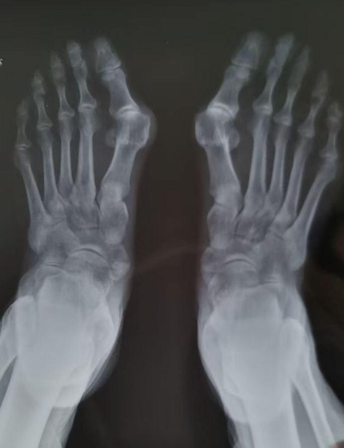
患者脚部影像资料

退休后,秦阿姨终于下定决心解决这个困扰多年的“足疾”。通过多方了解,她得知目前已有更先进的微创手术方式,于是来到武汉大学泰康临床学院、泰康同济(武汉)医院就诊。经过详细检查和评估,泰康同济(武汉)医院骨科团队为其量身定制了手术方案——采用目前较先进的微创术式,行双侧第一跖骨截骨术+骨髓内针内固定术。手术过程中,医生依次完成骨赘切除、跖骨截骨、关节复位及spear plate髓内板固定,C臂透视显示固定复位效果理想。术后检查双拇趾活动度、稳定性及关节复位情况均良好。

骨科副主任医师吴大清介绍,踇外翻俗称“大脚骨”,是引起足部不适的常见疾病之一,发病率达20%~30%左右,主要原因有遗传因素、外源性因素(如穿鞋不当等),以及外伤、风湿类疾病、痛风、神经系统疾病等。踇外翻除了不美观,还会引起脚底长老茧、疼痛、走路不稳易扭伤、易摔倒等问题。微创手术具有切口小、创伤少、恢复快、固定牢靠等优点,尤其适合对足部功能要求较高的患者。吴大清提醒,早期的踇外翻患者可选择保守治疗,但不能完全“掰正”已经变形的骨头,如果畸形较重,大脚趾的疼痛无法很好解决,或行走受影响,建议采取微创手术治疗,可以更好地恢复正常生活。

责任编辑:方琳
点赞 0
收藏
已输入0个字
全部评论
  • 回复
    • 查看全部{{ item.replyCount }}条回复> 查看更多回复>
    • 查看更多回复>
查看更多评论 没有更多评论了
电子报
  • 湖北日报
  • 楚天都市报
  • 农村新报
政情
精彩推荐
  • 湖北日报客户端
  • 湖北日报官方微信
  • 湖北日报官方微博