-
- 查看全部{{ item.replyCount }}条回复> 查看更多回复>
- 查看更多回复>
对不少年轻人来说
脸上冒青春痘是再常见不过的事
顺手挤掉几乎是下意识的动作
然而近期
浙江宁波大学附属第一医院
呼吸与危重症医学科接诊的一位患者
给所有人敲响了警钟——
只是挤了颗痘痘
肺竟被啃出十多个空洞
20岁的小林是一名大二学生,前段时间为了准备考试,熬了几晚后脸上冒出一颗黄豆大小的痘痘。“又红又肿很难看,我就想着挤掉能快点好。”他回忆道,当时没洗手就对着镜子挤痘痘,脓水挤出来时,他还觉得终于清爽了。
可过了几天,痘痘依旧化脓了,更糟糕的是,小林开始发烧、咳嗽,即便吃了退烧药也只是暂时退下去,右下胸部传来的疼痛像有根针在扎,深呼吸、咳嗽时更是疼得他直冒冷汗。
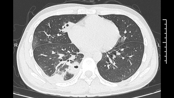
熬到第三天,小林已经烧到39℃,赶紧去医院就诊。接诊的主任医师丁群力一看他的症状,立刻安排了CT检查。结果显示:小林的肺里有十几个空洞,部分肺组织已经坏死,这是典型的血源性肺脓肿。
小林的CT影像显示肺里有多个空洞
进一步的细菌培养和基因检测揭开了真相,小林的血液里检出了金黄色葡萄球菌,这种细菌,就藏在每个人的皮肤表面。“‘罪魁祸首’就是那颗被挤掉的痘痘。”丁群力解释,“这颗痘痘长在脸部‘危险三角区’,挤痘痘时的压力把细菌推进了血管,引发了败血症,接着细菌顺着血流跑到肺部,侵蚀肺组织。”
万幸小林年轻,身体素质底子好,对药物也较为敏感,经过12天的抗生素治疗,最终顺利康复出院。
为什么一颗痘痘能“杀”到肺部?
脸部的“危险三角区”,是指从鼻根到两侧口角形成的三角形范围。“我们身体里的血管大多有静脉瓣,就像单向阀门一样,能防止血液逆流,避免细菌跟着血液乱跑。但‘危险三角区’的血管偏偏没有这个阀门,是完全直通式的。”医生介绍。

挤压这个区域的痘痘时,会同时触发两个危险步骤:
痘痘本身是毛囊发炎的产物,已经存在局部感染,挤压会直接破坏皮肤屏障,让痘痘里含大量细菌的脓液,接触到皮下毛细血管;
挤压的压力容易把这些细菌强行推进血管里。没有静脉瓣的阻挡,细菌可以顺着血液自由扩散,往上进入颅内,引发脑膜炎、脑脓肿等更凶险的疾病,往下顺着全身血液循环,跑到肺部、肝脏等器官,引发严重感染。
像小林这样,当细菌跑到肺组织上后,就会开始疯狂破坏肺细胞,引发局部炎症。随着炎症加重,肺组织会逐渐坏死、液化,最终形成一个个空洞。
如果没有及时就医,风险还会持续升级,轻则导致肺脓腔破裂,引发脓胸、脓气胸,胸腔里积满脓液,重则细菌会再次扩散到肝脏、心脏等关键器官,甚至引发脓毒症休克,危及生命。即便最终治愈,严重的肺组织坏死也可能留下后遗症,比如肺功能下降,影响后续的正常呼吸。
痘痘不要挤
皮肤可自我修复
医生提醒广大市民,对于轻度痘痘,不用特殊干预,皮肤有自我修复能力。过度挤压或涂抹刺激性产品,会破坏皮肤屏障,增加感染风险。
尤其是“危险三角区”的痘痘更是不能挤挑,要避免细菌进入血液。
另外,不要频繁触摸痘痘,手上的细菌数量多,反复接触可能会让细菌反复污染创口。
一旦出现疼痛加剧或周围皮肤大面积红肿,伴随发热、乏力,出现胸痛、咳嗽、呼吸困难这些情况,一定要立刻就医,千万别拖延。
-
回复