登录
第三方登录
头晕头痛,只因脑子里有“台球”大的肿瘤
湖北日报 2025-10-18 17:30:34

湖北日报讯(记者汪菁华、通讯员钱晨、周朕)近日,一名65岁女性患者接受高难度“巨大脑膜瘤”切除术,头晕头痛的症状终得缓解。

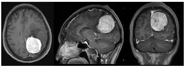
秦婆婆近期常常出现头晕、头痛的症状,还伴有双下肢乏力,导致走路不稳,本以为是“上了年纪”,并未引起重视,但症状却持续加强,逐渐影响正常生活。近日,家人陪同秦婆婆到泰康同济(武汉)医院求诊于泰康医疗神经医学中心首席专家陈劲草教授。通过头颅MRI检查发现其左侧顶部大脑镰旁存在一肿瘤性病变,初步诊断为脑膜瘤。经进一步核磁共振增强扫描确认,肿瘤大小约为53毫米×46毫米×49毫米,属于巨大脑膜瘤。

图片2.png术前影像检查

由于肿瘤位置紧邻大脑中负责静脉血液回流和脑脊液循环的重要“管道”及神经系统,手术风险极高,术中易引发大出血,术后还可能出现视力障碍、言语功能受损、偏瘫、癫痫等严重并发症。面对这一挑战,陈劲草组织全科进行病例讨论,制定周密手术方案,决定在显微镜下为患者实施“左侧大脑镰旁顶叶巨大肿瘤切除术”。

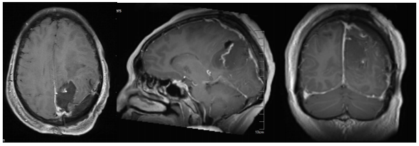
手术历时5小时,肿瘤被完整切除。术后病理报告显示为WHO I级过渡型脑膜瘤,也就是良性脑膜瘤。术后秦婆婆恢复顺利,意识清楚,四肢活动正常,复查头颅CT后确认肿瘤无残留,目前已成功康复出院。

图片3.png术后影像检查

陈劲草提醒,脑膜瘤是常见的颅内肿瘤,早期诊断与治疗尤为关键,但最初发病症状都不明显,不易引起患者及家属的重视。如果出现不明原因的头痛、癫痫、视力障碍或其他神经功能异常等症状,应及时进行头颅MRI检查,以便尽早发现并处理。

责任编辑:胡蔓
点赞 0
收藏
已输入0个字
全部评论
  • 回复
    • 查看全部{{ item.replyCount }}条回复> 查看更多回复>
    • 查看更多回复>
查看更多评论 没有更多评论了
电子报
  • 湖北日报
  • 楚天都市报
  • 农村新报
政情
精彩推荐
  • 湖北日报客户端
  • 湖北日报官方微信
  • 湖北日报官方微博