回复
-
- 查看全部{{ item.replyCount }}条回复> 查看更多回复>
- 查看更多回复>
湖北日报讯(记者余瑾毅、通讯员祝茹、裴霓裳)近日,70岁的李婆婆(化姓)因双眼持续不适就医,原本以为是常见眼疾,却在进一步检查中意外发现颅内存在巨大垂体肿物,而这很可能是导致她眼部症状与内分泌异常的“幕后黑手”。

李婆婆家住咸宁,近两个月来,频繁流泪,还总感觉有异物。上周,家人专程陪着她来到湖北爱尔眼科医院。眼睑眼眶/眼整形美容专科副主任医师杜芳检查后发现,李婆婆不仅有眼表不适症状,还存在右眼眼睑退缩、眼球突出、眼睑闭合不全、复视、眼球运动受限等典型体征。
问诊过程中,李婆婆提到自己已有3年甲亢病史,此前还接受过碘13治疗。结合这一既往病史与典型的眼部体征,杜芳初步判断,李婆婆的症状可能与甲状腺相关眼病有关。为了明确病情、排除其他潜在问题,杜芳为李婆婆安排了甲状腺功能与眼眶磁共振检查。
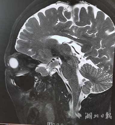
然而,影像学检查结果出乎意料。眼眶磁共振成像清晰显示,李婆婆颅内存在一巨大垂体肿物。“这个垂体瘤的占位效应,有可能是导致她甲状腺激素水平紊乱,进而引发一系列眼部症状的诱因。”杜芳解释道。
考虑到垂体瘤属于颅内病变,需神经外科进一步评估与治疗,湖北爱尔眼科医院第一时间协助李婆婆转诊至综合医院,目前她正接受专业医疗团队的后续诊疗。
“眼部是全身疾病的‘窗口’,很多看似是眼疾,背后可能隐藏着全身系统性疾病,甚至是颅内病变。”杜芳提醒,尤其是有高血压、糖尿病、甲状腺疾病等基础病的人群,要避免延误潜在严重疾病的诊治。