回复
-
- 查看全部{{ item.replyCount }}条回复> 查看更多回复>
- 查看更多回复>

湖北日报讯(记者汪菁华、通讯员胡梦、万凌翔)“我能下床站立了!”4月15日,88岁的周女士在接受髋关节假体周围骨折翻修及内固定手术,并辅以中西医结合康复治疗后恢复良好,顺利出院。
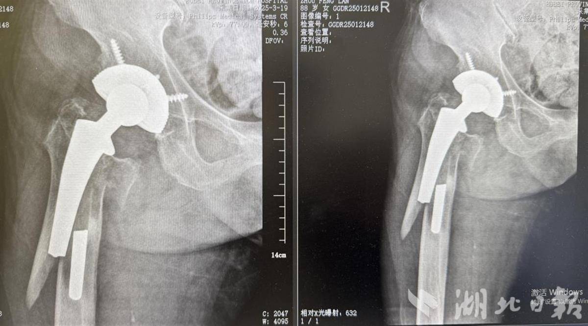
3月17日,周女士在家中不慎摔倒,右髋部剧烈疼痛无法站立,次日前往湖北省中医院(湖北中医药大学附属医院)骨IV科(关节创伤科)就诊。据悉,周女士12年前曾接受过右侧全髋关节置换术,此次摔倒导致股骨假体周围骨折并发生假体断裂。
“如果不及时手术,周女士只能长期卧床,而高龄患者长期卧床可能会引发肺炎、血栓等致命并发症。”接诊的主任医师何伟介绍,假体周围骨折翻修手术难度极高,需处理骨折复位、假体稳定性重建及骨缺损修复等问题。再加上患者88岁高龄、重度骨质疏松、中度贫血,以及常年患有高血压糖尿病等基础疾病,这些因素都大大增加了手术的难度。面对周女士强烈的“自由行走”的意愿,何伟决定“迎难而上”。

何伟团队迅速启动多学科会诊,联合麻醉科、心血管病科专家评估手术风险,并制定了个性化的治疗方案。经过术前的身体调理,以及详细的术前沟通和术前准备,3月25日,团队对周女士实施了髋关节翻修及骨折内固定技术,仅用1.5个小时完成了手术,术中出血量少,术后假体位置精准。
术后第二天,周女士即在医护人员指导下开始中西医结合的康复治疗和训练。一方面,周女士坚持踝泵训练、股四头肌等长收缩等功能训练,且避免髋关节屈曲超过90°及内收动作,预防脱位。另一方面,除了常规抗血栓治疗,周女士还口服补益气血、活血化瘀中药汤剂,调理身体,预防下肢血栓。“中西医不是简单的叠加,而是协作融合”,何伟介绍,通过整合现代医学康复技术与传统中医调理,可有效促进术后功能恢复、减少并发症,提升患者生活质量。
经过两周的治疗和训练,周女士能够下床站立,顺利出院。