-
- 查看全部{{ item.replyCount }}条回复> 查看更多回复>
- 查看更多回复>

湖北日报讯(记者龙华、通讯员周珊)“以为年纪大了,记性差了,不敢相信是长了脑瘤!”近日,刘女士在摘除脑深部肿瘤后,不仅成功“找回”记忆,还消除了癫痫。
据家属介绍,刘女士一贯记性好,凡她经手归置的物品,不管时间多久,都能精准找到。然而11月中旬开始,她的记忆力却明显下降,刚说过的话、做过的事情、放下的物品转头就忘。刘女士起初并没太在意,但随着时间推移,“健忘”越来越严重,她连非常熟悉的人名、地名都想不起来,还出现持续24小时头晕的症状。家人赶紧将她送往当地医院,经初步检查怀疑她患上脑梗死,然而经紧急对症处置后,症状改善却并不明显。为寻求更为稳妥的治疗,经人介绍,11月25日刘女士转院至武汉脑科医院·长江航运总医院神经外科进一步诊治。

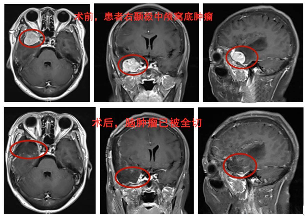
医生在脑部CT影像上观察到刘女士右侧中颅窝底部有异常团块样物。该院功能神经外科王焕明教授认为,刘女士并非脑梗,而脑肿瘤的可能性更大。刘女士接受头部核磁检查后,结果印证了医生的初步判断——刘女士右侧中颅窝底确实存在脑肿瘤。
王焕明向患者及家属解释,因为脑肿瘤位置低,影响了周围的脑脊液及血液循环,导致大片脑水肿,因此在CT上看有脑梗死的假象。鉴于这个位置的脑肿瘤极易引起癫痫,甚至脑疝危及生命,建议刘女士尽快接受手术。
随后,王焕明带领团队为刘女士完成了皮层电极监测下的开颅手术。术后病理提示为良性脑膜瘤。术后次日,刘女士就可下床自由活动。一周以来,她的记忆力显著恢复,即将康复出院。
脑肿瘤早期症状往往具有一定的欺骗性,有些可能会被误认为其他疾病。王焕明提醒,不明原因的头痛、频繁恶心或伴有呕吐,不明原因的视力下降、视野缺损、耳鸣、听力下降、肢体乏力或抽搐等都可能是脑瘤征兆,特别是像患者刘女士这样表现为瞬时记忆或近期记忆下降时,一定要尽早前往正规医院神经专科完善头部磁共振检查,排除脑肿瘤的可能,一经确诊,应积极遵医嘱接受必要的手术干预。
-
回复