登录
第三方登录
做磁共振检查到底有没有辐射?这个答案真没想到
央视新闻 2024-08-31 07:36:55

总有些朋友一听到“拍个片子”,恨不得光速逃走,但看病就像打妖怪,总不能人妖不分、喊打喊杀。影像仪器就是孙悟空的火眼金睛,能识别出身体的疾病和异常,赶走健康路上的“妖魔鬼怪”。

不是所有要“拍片子”的检查都有辐射。今天就来给大家介绍下这个0辐射的神器磁共振检查

什么是磁共振检查?

磁共振检查,简称MRI,它可以清楚地显示出身体内部的骨骼、肌肉、关节、血管、内脏等结构,对于诊断各种疾病有着非常重要的作用。

比如医生可以通过磁共振检查,发现脑部的肿瘤,或是脊椎的损伤。

但有些小伙伴一看到这项检查就害怕,磁共振,听名字就像有辐射的。

不用担心!磁共振检查是没有辐射的!

磁共振检查,通俗的讲就是在身体上施加一个强磁场,将身体里的原子核(我们的身体大约有70%都是水分,这些水分中就有很多的氢原子核)都朝向磁场方向有序排列,然后利用特定频率的电磁波进行激发,通过捕捉原子核返回原来状态所释放出的能量,形成MRI信号。

可以把磁共振检查想象成“3D眼”,让医生能够从不同角度,看清身体内部组织的清晰三维视图

为什么有时候做完CT

还要再做个磁共振检查?

CT和磁共振检查不是对立的,而是互补的

有时候即使已经做了CT检查,医生可能还需要通过磁共振检查,来进一步获取更详细的信息。

尤其是在诊断神经系统疾病时,比如脑梗死、脑肿瘤、颅内感染、动脉瘤、多发性硬化等;以及软组织肌肉疾病时,比如肌肉损伤、韧带断裂、肌腱炎等。

此外,对于某些特殊部位的病变,磁共振检查可以提供更清晰的图像,有助于更精确的诊断和治疗规划。

磁共振检查的禁忌人群

既然磁共振检查没有辐射,分辨能力强,对于脑、脊髓、盆腔脏器、心脏大血管病变及心肌梗塞的诊断尤为准确……

那么直接选择做磁共振检查不是更好吗?

NO NO NO!磁共振检查不是你想做就能做的。

比如,下面这些人就不能做磁共振检查:

1、体内装有人工耳蜗、心脏起博器(兼容性起搏器除外)、胰岛素泵等电子装置的人。

2、体内有铁磁性血管夹、钢钉钢板,或者其他不明材质金属异物的人。

3、眼球内有磁性金属植入物者。

4、有对比剂中重度过敏反应史、肾功能不全的人。

此外,还有些患者做磁共振检查,可能会存在安全风险,需要经过医生的综合评估后,来确定是否需要做磁共振检查:

1、患者体内或检查区域内有铁磁性物品。

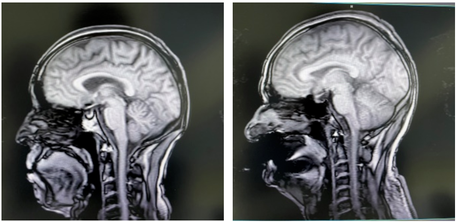
2、在进行鼻咽或口腔检查时,金属假牙可能导致图像产生伪影。

左:头部失状扫描图;右:假牙干扰后的伪影

3、在进行盆腔检查中,金属节育器可能会引起图像失真。

4、对于幽闭恐惧症患者,可能需要家属陪同。

5、神志不清、严重缺氧或烦躁不安的患者,其病情需要稳定后才能安全接受磁共振检查。

6、怀孕患者需要3个月后才能进行磁共振检查。

医生会根据患者的具体情况和诊断需求来选择最合适的检查方法,总之一句话——做啥检查听医生的话

磁共振检查

有哪些注意事项?

检查前

磁共振检查前,需要去除全身所有的金属物品,比如手机、手表、银行卡、身份证、钥匙、打火机、项链、耳环、硬币等。

并且心脏起搏器兼容性起搏器除外),不明材料的支架,钢针钢板一类都不能进入检查室。

检查中

磁共振平扫一个部位大概十分钟左右,由于设备的运行,会存在较大的噪音,并且对患者的检查配合度要求很高,扫描开始时,不可以乱动

检查后

如果你做的增强MRI检查(注射了造影剂),可能需要在观察室内观察约15-20分钟,以确保没有不适反应。

(科普中国)

责任编辑:杨冉冉
点赞 0
收藏
已输入0个字
全部评论
  • 回复
    • 查看全部{{ item.replyCount }}条回复> 查看更多回复>
    • 查看更多回复>
查看更多评论 没有更多评论了
电子报
  • 湖北日报
  • 楚天都市报
  • 农村新报
政情
精彩推荐
  • 湖北日报客户端
  • 湖北日报官方微信
  • 湖北日报官方微博