回复
-
- 查看全部{{ item.replyCount }}条回复> 查看更多回复>
- 查看更多回复>
湖北日报全媒记者 胡雯洁 通讯员 刘瑜
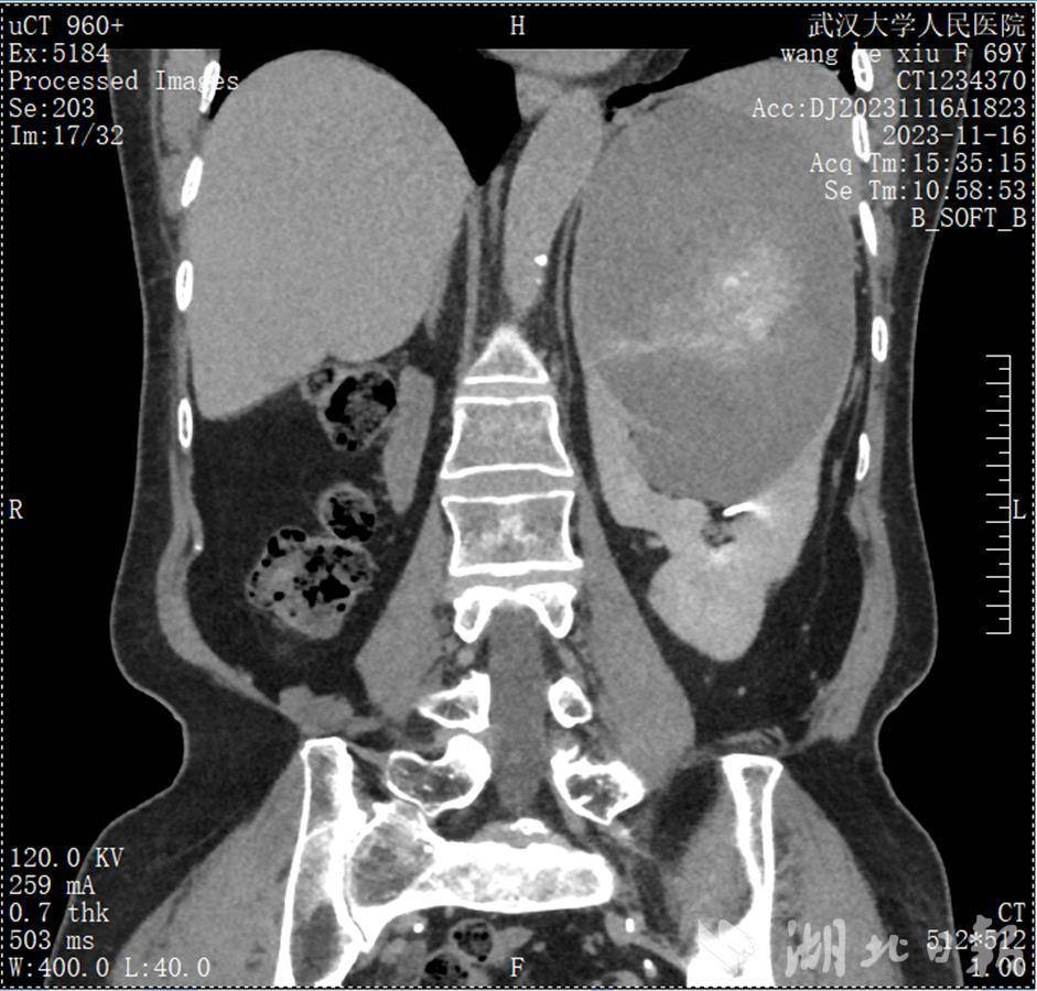
因腰疼上医院检查,王奶奶意外发现自己先天性只有左肾,更想不到的是,左肾藏有一颗近15厘米的巨大肿瘤。近日,武汉大学人民医院东院泌尿外科团队妙手极限“拆弹”保肾,为王奶奶切除了肿瘤,保全这颗宝贵的独肾,避免患者余生依赖透析生存。
60岁的王奶奶曾辗转省内多家医院就诊,均建议切除肾脏,术后需终身透析或肾移植治疗。
王奶奶希望尽可能保留左肾,找到武汉大学人民医院东院泌尿外科主任祝恒成教授求医。
“肿瘤位于左肾上极和中部,超过肾门动静脉。如果行肾部分切除术,既要完整彻底切除肿瘤,否则肿瘤容易复发;同时又不能损伤动静脉,而且需要尽可能多地保留肾实质,手术难度极大。”祝恒成直言不讳地说,即便手术,术后因肾脏太小,患者仍有透析可能性,常规需行根治性肾切除。

祝恒成介绍,肾癌在疾病早期阶段一般没有明显症状。如果出现腰痛、血尿和腹部肿块,往往提示病程相对较晚。如果肿瘤大于10cm,保肾手术的难度会明显增加,而且术后复发的可能性也会增加。他提醒,有肾癌家族史的人,应该每年定期检查B超或CT,以期做到“早发现、早诊断、早治疗”。
面对患者及家属的期待的眼神,祝恒成教授团队与东院麻醉科孟庆涛主任商讨后决定迎难而上。
术中,在孟庆涛主任带领的麻醉团队保驾护航下,祝恒成教授团队仔细分离左肾及肿瘤,阻断肾蒂,快速精准沿肿瘤边缘完整切除肿瘤,三层缝合肾盏及肾实质,完整保留肾脏下极及部分中极正常肾组织和血管,为王奶奶保留一线“肾”机。手术仅用一个半小时就完成,术中出血极少,手术后经护理团队精心护理,患者状态良好。
好消息传来,术后病理结果为肾透明细胞癌,王奶奶出院后无需透析。
