-
- 查看全部{{ item.replyCount }}条回复> 查看更多回复>
- 查看更多回复>
年逾七十的艾奶奶(化姓),十多年来反复被“胸闷、气促、心悸”折磨,日常活动严重受限,生活质量一落千丈。她辗转多家医院治疗,但效果始终不尽如人意。近日,她抱着最后一丝希望,来到十堰市人民医院心血管内科3病区就诊。经系统检查,终于揪出病因——“主动脉瓣重度狭窄伴轻度关闭不全”。这个病,就好比心脏的“阀门”严重老化,既难以充分打开,又无法完全闭合,从而导致心脏负荷沉重,随时可能危及生命。
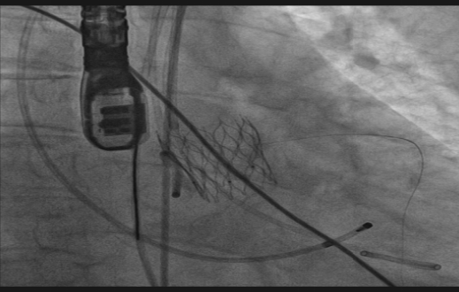
由于艾奶奶年事已高,且合并冠心病、高血压、糖尿病等多种基础病,接受传统开胸换瓣手术风险极高。面对这一复杂情况,心血管内科3病区谭利国主任领衔的心脏介入团队,迅速组织心胸外科、超声影像科、麻醉科、重症医学科(ICU)、内分泌科等多学科专家进行联合会诊。团队全面评估后,为艾奶奶“量体裁衣”,确定了目前全球领先的微创治疗方案——经导管主动脉瓣置换术(TAVR)。该技术无需切开胸骨,能避免传统手术的巨大创伤与漫长恢复期。
术中,手术团队仅通过患者大腿根部进行微创穿刺,通过血管路径,将人工瓣膜精准输送至心脏病变处并释放,体表几乎不留痕迹。在多学科团队的精密协作与全程护航下,手术顺利完成,术后即刻效果显著。复查心脏彩超显示:原先严重的主动脉瓣狭窄已完全解除,新植入的瓣膜启闭良好,心脏血流恢复通畅。
术后,艾奶奶当即感到“一下子轻松了”,胸闷、气促等症状迅速改善。凭借微创技术优势和围手术期的精细管理,她恢复神速,术后仅两三天便达到出院标准,顺利回家重享健康生活。
据谭利国主任介绍,TAVR被誉为瓣膜介入治疗领域的“皇冠”,对介入团队技术与协作能力要求极高。据介绍,十堰市人民医院心血管内科在本地区率先并熟练开展该项技术,为众多高龄、高危心脏瓣膜病患者带来了新的希望,也让患者在家门口就能享受到与省级顶尖医院同质的先进医疗技术,真正实现了优质医疗资源的下沉,为更多患者打开了“心”生之门。

-
回复