登录
第三方登录
荆州一医日间手术 24小时让“顽固肾结石”无影踪
湖北日报客户端 2025-12-29 09:32:57












“没想到24小时就能解决困扰我许久的肾结石,荆州一医太给力了!”

近日,30岁的吴先生在荆州市第一人民医院日间手术病房完成经皮肾镜碎石手术后,不到一天便顺利出院,看着术后影像报告里干净的肾脏区域,他难掩激动地为医院的诊疗服务竖起了大拇指。

1273fe9fca55462c838c8f3f5188e7d0__url=http%3A%2F%2Fdingyue.ws.126.net%2F2024%2F0326%2F6665075fj00say4ur000kd200ew00clg00it00fw.jpg&thumbnail=660x2147483647&quality=80&type=jpg.jpg

吴先生是一名办公室职员,近期总被间断性腰痛困扰,起初他以为是腰椎间盘突出,并未在意,直到腰痛加剧才到荆州市第一人民医院就诊。CT检查结果让他心头一紧——左侧肾脏竟藏着一颗直径2公分的结石,且已引发肾脏积液。 

图片
吴先生

医生,我的肾脏还能保住吗?是不是要住很久的院?

面对吴先生的焦急询问,泌尿外科副主任医师、结石组组长张忠一边安抚其情绪,一边仔细研判影像资料。他发现吴先生左侧输尿管存在明显狭窄,若采用常规输尿管软镜手术,器械很难顺利抵达肾盂完成碎石。综合评估后,张忠决定为其实施“无管化经皮肾镜碎石手术”

张忠
图片

我们会在你腰部建立一个笔芯粗细的微创通道,通过肾镜直达肾脏,再用激光将结石粉碎取出,既能彻底清除结石,还能最大程度保护肾脏功能,术后恢复也很快。

张忠用通俗的语言为吴先生详细讲解手术方案,打消了他的顾虑。 

图片

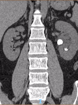
手术在医院日间手术病房顺利开展,吴先生术后无需留置肾脏引流管,身体状态恢复迅速,不到24小时就达到出院标准。出院时,他看着清晰的术后影像,连连感慨医疗技术的神奇与高效。

图片
术前
图片
术后
张忠
图片

经皮肾镜碎石术是治疗复杂肾结石的常用术式,而我们创新将其纳入日间手术范畴,并采用无管化技术,让符合指征的患者实现“今日手术、次日出院”的便捷就医体验。

图片

该术式的成功开展,大幅缩短了患者住院时长,将传统7-9天的住院周期压缩至1天,既减轻了患者的经济负担和家属陪护压力,也让患者能尽快回归家庭环境,更利于身心康复。 

早在2023年7月,荆州市第一人民医院就在荆州地区率先开展日间输尿管硬镜(软镜)激光碎石手术,此次日间经皮肾镜钬激光碎石手术的成功落地,是医院持续推动医疗技术迭代升级和诊疗模式优化的生动实践。


图片

责任编辑:周芸
点赞 0
收藏
已输入0个字
全部评论
  • 回复
    • 查看全部{{ item.replyCount }}条回复> 查看更多回复>
    • 查看更多回复>
查看更多评论 没有更多评论了
电子报
  • 湖北日报
  • 楚天都市报
  • 农村新报
政情
精彩推荐
  • 湖北日报客户端
  • 湖北日报官方微信
  • 湖北日报官方微博