回复
-
- 查看全部{{ item.replyCount }}条回复> 查看更多回复>
- 查看更多回复>
通讯员 邓文婷
近日,我院泌尿外科团队凭借其精湛的微创技术和深厚的专业底蕴,成功为一例巨大肾上腺肿瘤患者实施手术,为患者解除病痛。
“闯”手术雷区,拆健康炸弹
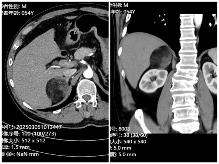
54岁的徐先生(化名),因右侧腰痛不适2月余入院就诊,检查发现右侧肾上腺巨大肿瘤,直径达7cm,予以收治入院。患者既往曾行腹腔镜下胆囊切除术,存在腹腔粘连,合并肿瘤解剖位置特殊,位于腹腔的深处,被结肠、十二指肠、肝脏等器官覆盖,又临近下腔静脉等重要血管,手术难度很大,就像是在刀尖上跳舞。
为确保患者手术安全,泌尿外科主任方统文、副主任董恩文联合影像科、麻醉科、心血管内科等科室进行详细术前评估,制定了个性化的手术方案,最终决定采取腹腔镜下肾上腺肿瘤切除术进行治疗。

多学科协作,护航手术安全
经过充分的术前准备,方统文手术团队与麻醉室团队密切配合,手术过程顺利,仅用时1个小时,且出血量不足5ml,肿瘤被彻底切除。
在泌尿外科团队的精心护理下,患者恢复迅速,术后第二天即可下床活动。
阳新县人民医院泌尿外科自成立以来,始终坚持以“患者为中心”的服务理念,锐意进取,不断突破自我,完成了一系列高难度手术。此次完成的腹腔镜下肾上腺巨大肿瘤切除手术,具有目标肿物体积大、毗邻重要解剖结构多、手术入路复杂等特点,因此手术难度更大,对术者的经验和技巧要求更高,手术的成功充分展现了方统文主任带领的泌尿外科团队高超的医疗技术。
患者福音:微创技术三大核心优势
与传统开放手术相比,腹腔镜技术具有显著优势:1.创口微小:仅需3-4个1cm左右切口,极大降低创伤;2.精准安全:高清视野下精细分离,重要血管神经保护更到位。
